Mehr als 100.000 ambulante und stationäre Patientinnen und Patienten kommen alljährlich zu uns. Für ihr Wohl arbeiten wir, für sie sind wir da.
Medizin und Menschlichkeit gehören für uns zusammen. Wir möchten uns um Sie kümmern, im Krankenhaus und danach.
Die Klinikum Bayreuth GmbH ist ein Krankenhaus der "maximalen Versorgungsstufe" in Oberfranken.
Die Klinikum Bayreuth GmbH ist ein Krankenhaus der maximalen Versorgungsstufe. Bei uns sind Sie am richtigen Ort.
In unseren Zentren arbeiten verschiedene Berufsgruppen aus unterschiedlichen medizinischen Disziplinen zusammen. Denn unser Ziel ist die beste Behandlung für Sie.
Vom Notfall bis zur Nachsorge: Wir sind rundum für Sie da. Dafür gibt es unsere Einrichtungen.
Ambulante medizinische Hilfe in den MVZs Bayreuth
Ambulante medizinische Hilfe im MVZ MedCenter Bayreuth.
Krebs-Tag am Klinikum Bayreuth: Chefärtze sprechen über neue Chancen in Vorsorge, Diagnose und Behandlung
Eine gute Nachricht: Es gibt entscheidende Fortschritte im Kampf gegen Krebs. Das haben vier Chefärzte der Klinikum Bayreuth GmbH am Krebs-Tag der Festwoche zum 30-jährigen Bestehen des Klinikums Bayreuth deutlich gemacht. Konkret: Bessere Vorsorge kann die Darmkrebshäufigkeit erheblich senken. Mit immer bessere Technologien kommen Ärzte Krebs immer früher auf die Spur. Neue Immuntherapien eröffnen Behandlungsperspektiven. Moderne Strahlentherapie schont Patienten und vermeidet Nebenwirkungen.
Je früher, desto besser. „Wenn wir den Darmkrebs in seinem ersten Stadium erkennen, können wir statistisch gesehen neun von zehn Patienten heilen“, sagt Privatdozent Dr. Steffen Mühldorfer, Chefarzt der Klinik für Gastroenterologie und Leiter des Darmzentrums. Doch noch immer ist Darmkrebs die zweithäufigste Krebstodesursache in Deutschland. Nach Angaben des Robert-Koch-Instituts sterben daran jährlich mehr als 25.000 Menschen. Mühldorfer rät deshalb zur Vorsorge. Jährlich sollten Patienten ab 50 ihren Stuhl auf Blutspuren untersuchen lassen. In absehbarer Zukunft wird sich das Analyseverfahren verbessern. Ein immunologischer Test soll zuverlässigere Ergebnisse liefern. Doch der Chefarzt sagt auch: Selbst der beste Test kommt nur etwa 60 Prozent der Darmkrebsfälle auf die Spur. „Mit Hilfe von Vorsorgekoloskopien, also von Darmspiegelungen, wäre ein Durchbruch möglich. Denn damit lässt sich die Krebsrate um bis zu 90 Prozent senken.“ Bei einer Darmspiegelung erkennen und entfernen Mediziner Polypen – sie sind die Vorstufe eines Karzinoms. Bereits seit 2002 übernehmen Krankenkassen für Patienten ab dem vollendeten 55. Lebensjahr die Kosten für eine Darmspiegelung. Doch in den Jahren zwischen 2002 und 2012 haben pro Jahr nur 400.000 von insgesamt 16,7 Millionen Versicherten, die einen Anspruch auf eine Darmspiegelung hatten, tatsächlich davon Gebrauch gemacht. Der Anteil bei den Frauen liegt bei 22, bei den Männern bei 20 Prozent. „Ich rate jedem Anspruchsberechtigtem zu einer Darmspiegelung. Und wenn die abgelehnt wird zumindest zu einem Stuhltest “, sagt Mühldorfer. Denn je früher Darmkrebs erkannt wird, desto besser die Heilungschancen. Runter von der Bremse des Immunsystems: Neue Immuntherapien können den Kampf gegen Krebs nach vorne bringen, sagt Prof. Dr. Alexander Kiani, Chefarzt der Klinik für Hämatologie und Onkologie und Leiter des Onkologischen Zentrums der Klinikum Bayreuth GmbH. Krebszellen gelingt es auf verschiedene Weise, das Immunsystem lahmzulegen. Dadurch ist dieses fast immer zu schwach, einen ausgebrochenen Krebs zu kontrollieren . Als vielversprechend erwies es sich jetzt, das Immunsystem durch das Verabreichen bestimmter Antikörper zu stimulieren. Kiani sagt: „Durch diese Behandlung wurden in Studien Ergebnisse erzielt, die erwarten lassen, dass eine neue Säule der Krebsbehandlung entstehen wird.“ Bei der neuen Methode wird die Bremse des Immunsystems vorübergehend ausgeschaltet. „Jede Immunreaktion unseres Körpers, wie sie etwa bei einer Infektion oder Entzündung ausgelöst wird, hat eine natürliche Bremse eingebaut, die dafür sorgt, dass sie auch wieder beendet wird“, sagt Kiani. „Bei Krebserkrankungen ist diese Bremse eher hinderlich, weil sie das Immunsystem zusätzlich schwächt.“ Jetzt gibt es Medikamente, die diese Bremse aushebeln. Studien zeigen, dass diese Medikamente auch bei Patienten Wirkung haben, bei denen andere Methoden meist versagen. Hierzu zählen der schwarze Hautkrebs, sowie Lungen- und Nierenkrebs. Bei diesen Krebsarten ist die neue Behandlung bereits zugelassen, sie wird in der Praxis eingesetzt. „Das ganze Potenzial dieser neuen Methode ist noch gar nicht absehbar“, erklärt Kiani. „Es ist aber zu erwarten, dass diese neue Säule der Krebsbehandlung uns in den nächsten Jahren einen wesentlichen Schritt voranbringen wird.“ Sicherheit für gefährdete Patienten: Die Chancen, dass Krebs- und Demenzerkrankungen sehr früh erkannt und behandelt werden, stehen so gut wie nie zuvor. Die Klinik für Nuklearmedizin der Klinikum Bayreuth GmbH, unter der Leitung von Chefarzt Privatdozent Dr. med. Stefan Förster, hat in diesen Tagen Nordbayerns modernsten PET/CT Scanner in Betrieb genommen. Mit dem PET/CT lassen sich in einer einzigen Untersuchung sowohl kleinste Krebsherde zuverlässig erkennen und hochpräzise lokalisieren als auch Eiweißablagerungen und Stoffwechselveränderungen im Gehirn von Demenzpatienten sehr frühzeitig erfassen. Bereits Jahre vor Auftreten von typischen klinischen Symptomen kann mittels PET/CT des Gehirns eine neurodegenerative Demenzerkrankung wie die Alzheimer-Erkrankung erkannt werden. Der gezielte Einsatz der PET/CT bei Krebspatienten, sagt Privatdozent Dr. Förster, hat erheblichen Einfluss auf die Wahl der korrekten Therapie und erspart dem Patienten belastende zusätzliche Untersuchungen. Die Untersuchungszeit im Rahmen einer PET/CT Ganzkörperaufnahme bei Krebspatienten am Klinikum Bayreuth wird von früher 60 Minuten auf nun 15 Minuten gekürzt und dies bei einem gleichzeitigen erheblichen Zugewinn an Bildqualität sowie einer deutlichen Verringerung der Strahlenbelastung für den Patienten um etwa 50 Prozent. Keine Angst vor High Tech in der Strahlentherapie. „Mit unseren modernen Geräten können wir Patienten, die an Krebs erkrankt sind, präzise behandeln und Nebenwirkungen vermeiden“, sagt Privatdozent Dr. Jochen Willner, Chefarzt der Klinik für Strahlentherapie. „Wir schonen bei der Bestrahlung gesundes Gewebe und konzentrieren uns auf die Behandlung des Tumors.“ Ein Beispiel: Bei Patientinnen mit Brustkrebs blenden die Experten des Klinikums bei der Bestrahlung das Herz aus. Denn eine Bestrahlung würde das durch die Krebstherapie ohnehin höhere Risiko steigern, dass die Patientin auch noch nach Jahren eine Herzschädigung erleidet. Auch Patienten, bei denen eine Gehirnbestrahlung notwendig ist, können profitieren. „Wir können so ausgefeilt und gezielt bestrahlen, dass wir in bestimmten Fällen Hirnbereiche schonen, die die Gehirnstammzellen des Patienten enthalten. Dadurch werden diese weniger beeinträchtigt“, sagt Willner. Das heißt: Die als Begleiterscheinung einer Bestrahlung gefürchteten Konzentrationsstörungen, Gedächtnisprobleme, Veränderungen der Persönlichkeit und andere Hirnfunktionsstörungen können möglicherweise vermieden werden. Dies wird derzeit noch in Studien geprüft, die technischen Möglichkeiten stehen aber bereits zur Verfügung. Besonders spannend und vielversprechend wird in den nächsten Jahren die Kombination der Strahlentherapie mit den neuen Immuntherapien werden. "Erste wirklich spektakuläre Behandlungserfolge konnten wir in Einzelfällen bereits sehen" berichtet Willner.
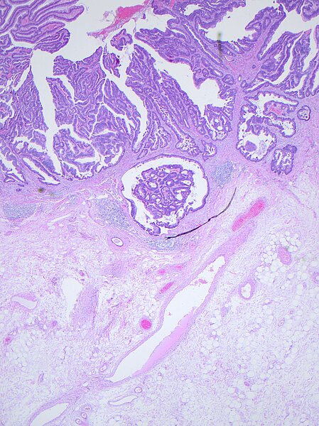
So sehen Pathologen Zellen eines Darmkrebses unter dem Mikroskop in 100-facher Vergrößerung.
Privatdozent Dr. Steffen Mühldorfer rät zur Darmspiegelung als wirksamste Vorsorgemethode gegen Darmkrebs.
Moderne Bildgebungsverfahren machen es möglich, Krebs und Demenz in sehr frühem Stadium zu erkennen, sagt Privatdozent Dr. Stefan Förster.
Moderne Technik in der Strahlentherapie macht es möglich, Tumore hochwirksam zu bestrahlen und gesundes Gewebe zu schützen, sagt Privatdozent Dr. Jochen Willner.
Eine vielversprechende Behandlungsmethode gegen den Krebs sieht Prof. Dr. Alexander Kiani in der Stimulierung des Immunssystems.
Am 25. Oktober 2025
Infos & Programm
Später